CASI CLINICI
Il sorriso di Salvatore
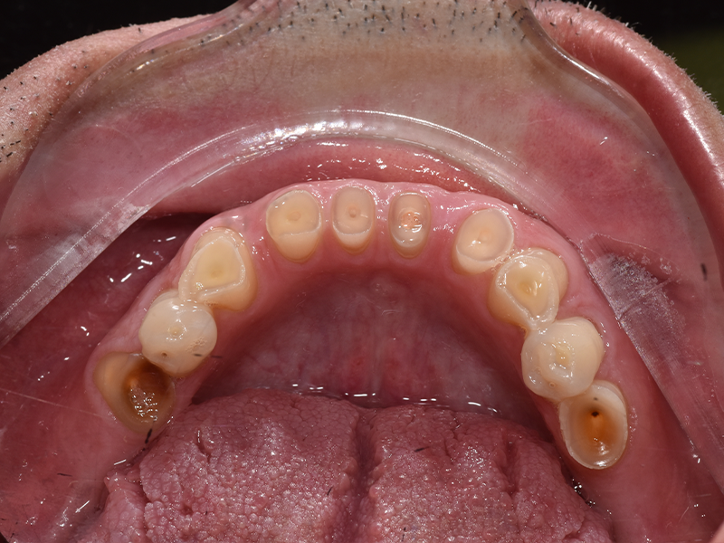
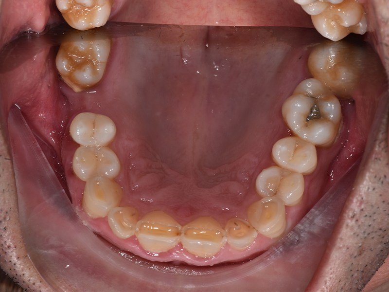
Salvatore, 48 anni, è arrivato nel nostro studio con una storia particolare: per oltre vent’anni aveva bevuto coca cola ogni giorno. Il risultato era evidente: denti fortemente consumati, molari mancanti, difficoltà a masticare e a sorridere. La moglie stessa, preoccupata per lui, ci ha chiesto di intervenire al più presto.
Il caso e la soluzione.
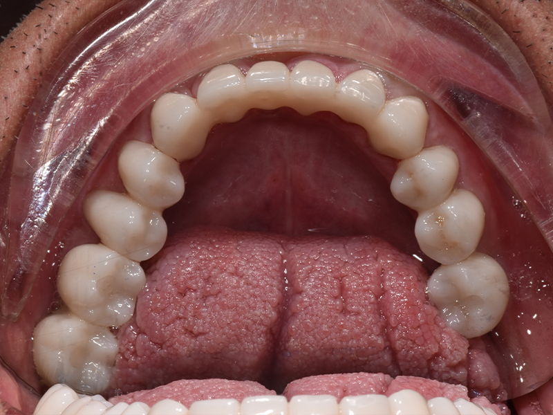
Abbiamo studiato un piano di trattamento completo, pensato per restituire funzionalità, estetica e fiducia.
Il percorso ha previsto:
- Ricostruzione e allungamento di tutti i denti consumati
- Inserimento di impianti dentali per sostituire i molari mancanti
- Ripristino dell’armonia del sorriso e della corretta funzione masticatoria
Un lavoro graduale, durato circa 8 mesi, che ha trasformato il sorriso di Salvatore in maniera radicale.
Oggi Salvatore racconta:
“Per anni ho nascosto i miei denti, non riuscivo più a sorridere e a mangiare bene. Adesso mi guardo allo specchio e vedo un’altra persona: più giovane, più sicura, finalmente me stesso.”

PRIMA

PRIMA

Prima

Dopo

Dopo
